Rarest Medical Conditions Around The World

Odette Odendaal
2 years ago

Arterial Calcification Due To Deficiency Of CD73

Image Source: Wiley Online Library
Otherwise known as ACDC (no, not the rock band, this is way less fun) this condition is when calcium accumulates very painfully in the blood vessels of the patient's hands and feet and is caused by a gene mutation. Only 9 people in the United States have this condition making it super rare!
Advertisement

Cyclic Vomiting Syndrome

Image Source: The Mirror
This is when a person has cycles of consistent vomiting. This can last for days and then disappears. The patient can live a normal life when they are not throwing up but then are often hospitalized due to dehydration. There is no permanent cure but many people who have this condition grow out of it!
Advertisement

Eagle Syndrome

Image Source: Reddit
This condition often occurs after the removal of tonsils or throat damage and the sufferer feels pain, has trouble swallowing, and has tinnitus but the strangest one is that they feel like there is something stuck in their throat. It can be cured by surgery or can be treated with painkillers.
Advertisement

Black Hairy Tongue

Image Source: Reddit
This condition is really horrible but luckily is easily curable with antibiotics. This condition is where excess growth of the keratin protein makes the tongue look black and hairy. Common symptoms include the patient feeling tickling and gagging sensations.
Advertisement

Wilson's Disease

Image Source: Reddit
Wilson's disease is caused by an excess of copper in the tissues. Symptoms include jaundice, fluid retention, weight loss, and eventually liver failure. This condition unfortunately has no cure but can be managed through specialized diets and medication.
Advertisement

Situs Inversus

Image Source: Cureus
This condition is where someone is born with their organs on the opposite side of the body to what they are supposed to be. For example, the heart is on the right or below the stomach. This usually doesn't need to be treated and is passed down through family genes.
Advertisement

Maple Syrup Urine Disease

Image Source: Milaap
This disease is caused by the body not being able to process certain amino acids. Levels of amino acids that are too high can be fatal. Symptoms can include sweet-smelling urine, lethargy, jerking, twitching, and delayed development. This disease is not curable but a low-protein diet helps this.
Advertisement

Adiposis Dolorosa

Image Source: Reddit
This condition is the result of rapidly occurring fatty growths around the body. It is for some reason twice as common in women as in men. Symptoms can include fatigue, pain and memory, and mobility issues. There is no cure but surgery can help.
Advertisement

Fragile X Syndrome

Image Source: Genetic Literacy Project
This is a genetic abnormality that causes development issues. Symptoms include delayed speech, anxiety, autism, and a long, narrow face with a prominent jaw and forehead. Men are more susceptible to this condition than women and there is no cure but is able to be managed.
Advertisement

Ochoa Syndrome

Image Source: Frontiers
Also known as the 'Hydronephrosis-inverted Smile' this condition means that instead of smiling the sufferer, despite their best efforts frowns and scowls. The patient also often suffers from urine backing up into the ducts and accumulating in the kidneys. Often resulting in Kidney failure. There is no cure.
Advertisement

Gigantism

Image Source: Reddit
Caused by too much growth hormone before the bone plates have fused, the person's muscles, organs, and bones grow to a larger-than-usual size. This can cause a delay in puberty and problems with vision and weakness. It can be treated by surgery, medication, and radiation therapy.
Advertisement

Moebius Syndrome

Image Source: Positive exposure 
This syndrome is characterized by complete paralysis in the face. Patients cannot close their eyes, look from side to side, or form facial expressions as well as other symptoms such as limb abnormalities like clubbed feet or missing fingers are also common.
Advertisement

Pica

Image Source: TLC
Named after the lain name for the magpie, people with this condition will have cravings to eat almost anything at all. Specifically, the patient has to be craving non-nutritional substances such as paint, dirt, or clay for over a month. It is most common in pregnant women or children.
Advertisement

Chronic Focal Encephalitis

Image Source: WRGB
This condition affects about 2 people in every 10 million and usually affects children under the age of 10 years old. This is a condition where the patient gets frequent and severe seizures and a loss of motor skills and speech. This can also lead to the destruction or removal of a part of a child's brain.
Advertisement

Alkaptonuria

Image Source: Wiley Online Library
This condition is also known as 'black urine disease' and is where the body can't properly break down two amino acids causing a build-up of homogentisic acid. This turns urine and parts of the body a dark color. There is no current treatment and this condition currently affects 1 in every million people.
Advertisement

Alice In Wonderland Syndrome

Image Source: Reddit
The most common symptom of this syndrome is that sufferers see their body image as different from what it is. Usually, the head or hands are proportionally big or small. Generally, people with this struggle to put the perspective of size to anything - a corridor may seem endless, or a tiny building next to a huge car.
Advertisement

Lesch-Nyhan Syndrome

Image Source: Wikipedia
This syndrome is caused by the body producing excessive uric acid. This results in a neurological disorder as well as self-harming behavior. People with this condition are often seen trying to hit themselves and often eat themselves. This affects 1 in 300,000 people.
Advertisement

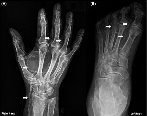
Harlequin-Type Ichthyosis

Image Source: Wiley Online Library
This condition is where someone is born with thick, hard, diamond-shaped plates on their skin and often makes someone's skin look like fish scales. The patient will have increased chances of infection and dehydration as well as poor body temperature regulation. There is no absolute cure.
Advertisement

Aquagenic Urticaria

Image Source: BBC
This condition is also known as 'Water Allergy' and is when the skin comes into contact with water it causes red, itchy hives. The cause is not known but the patients are often also allergic to snow, sweat, and tears and only 50 cases have ever been reported to date.
Advertisement

Foreign Accent Syndrome

Image Source: Reddit
Also known as FAS, this is when a person has an injury to the brain which causes a change in the tongue placement and intonation of someone when they speak. The crazy result of this is that someone speaks the same language they always have but in a completely different accent!
Advertisement

Microcephaly

Image Source: Reddit
This is caused by the underdevelopment of the brain, resulting in smaller head size and abnormal facial features. It occurs from birth and symptoms often include dwarfism, seizures, impaired intellectual ability, and speech impediments. The cause of this was only discovered in 2002.
Advertisement

Methemoglobinemia

Image Source: Reddit
Otherwise known as 'Blue Skin Disorder' this is caused by increased levels of methemoglobin affecting how oxygen and iron act in the blood which results in fewer red blood cells. other than the skin becoming blue, symptoms include seizures, heart abnormalities, and early death.
Advertisement

Parry-Romberg Syndrome

Image Source: BMJ Case Reports
This condition usually affects girls that are under the age of 15 and is where random areas of skin seem to degenerate or shrink. The cause of this is not known and is still being debated by experts. This condition only affects 4 in every 1 million people.
Advertisement

Morgellons

Image Source: Reddit
Symptoms of this include itchiness, crawling, stinging, and biting sensations as well as changes in vision and memory loss. It is where black hairs are formed underneath the skin. Many conspiracists believe that it is caused by aliens however it is believed to be caused by anxiety and psychological disturbances.
Advertisement

Epidermodysplasia Verruciformis

Image Source: Reddit
This condition is also known as 'Treeman Syndrome' and is where a person has an abnormal susceptibility to warts and growths on the skin. The person will have a high risk of skin cancer, lesions, and tumors and it is believed to be hereditary. There is no treatment, the growths can be surgically removed but they grow back.
Advertisement

Fibrodysplasia Ossificans Progressive

Image Source: Medical Bag
This untreatable condition is also known as 'Stonemans Disease'. People that suffer from this will get tumor-like swellings over the neck, back, and shoulders. It is caused by a mutation in the body's repair system causing tendons, muscles, or ligaments to spontaneously harden and causing joints to freeze.
Advertisement

Hutchinson-Gilford Progeria Syndrome

Image Source: Reddit
Our fourth last condition is super rare with approximately 100 cases around the world, symptoms of this condition include baldness, enlarged heads with smaller faces, growth delays, and limited motion. There is no known cure or treatment for Hutchinson-Gilford Progeria Syndrome.
Advertisement

Kuru

Image Source: Reddit
Coming in at third last, this is probably the most disturbing condition as it can only be caused by the consumption of the human brain and is one-hundred percent lethal. Before dying, the person will suffer from tremors, muscle jerks, headaches, and arm and leg pain.
Advertisement

Fields Disease

Image Source: Wales Online
With only 2 cases in the world currently, Fields disease is not treatable however individual symptoms can be treated separately. Symptoms include the deterioration of the muscular system which causes limitation of movement and speech, twitching, trembling, and muscle spasms.
Advertisement

RPI Deficiency

Image Source: Reddit
Last and in this case least... The rarest medical condition in the world with only 1 current case in the world and 3 cases ever RPI Deficiency is where damage to the optic nerves causes involuntary eye movements, seizures, developmental delays, and balance and mobility issues. This has no treatment.
Advertisement

Auto-Brewery Syndrome

image source: reddit.com
There are some really unfortunate people out there who experience an alcohol hangover and intoxication, without actually drinking any alcohol. This rare condition called auto-brewery syndrome actually sees the body producing its own alcohol in the gut after eating certain foods.
Advertisement

Fish Odor Syndrome

image source: reddit.com
This doesn't sound pleasant, and it's not! Fish Odor Syndrome can see a person suffering from it having - you guessed it - a particularly fishy odor producing naturally from their bodies. This not only smells like fish, but rotting fish, and can be produced from sweat and urine.
Advertisement

Fatal Familial Insomnia

image source: reddit.com
The poor people struggling from this rare medical condition won't just have a few night's bad sleep tossing and turning - they'll end up having bouts of insomnia where the sleep deprivation will be so severe that it can result in serious health, mental and physical deterioration.
Advertisement

Proteus Syndrome

image source: bbc.com
This condition sees certain tissues of the body growing in a disproportionate way, which includes bones and skin, but also the tissues of the body's arteries. You might know of the 'Elephant Man' in history, Joseph Merrick, who was one known person who had this rare disease.
Advertisement

Walking Corpse Syndrome

image source: reddit.com
While most of us would say we look like a zombie after a bad night's sleep, Walking Corpse Syndrome is actually a thing. Also known as Cotard's Syndrome, this condition actually affects the brain and makes people think that they've lost body parts, or that they've actually died and lost their soul.
Advertisement

Alien Hand Syndrome

image source: reddit.com
This condition actually sees your hand acting of its own accord - which is enough to scare anyone with the condition. Alien Hand Syndrome might see one of your hands doing something that you aren't consciously making it do, and can be as complex as full actions like unbuttoning your shirt, rather than simply moving or twitching.
Advertisement

Alien Leg Syndrome

image source: reddit.com
This condition actually extends further than the hand, too - it can happen to other body parts, most notably in the leg. Also known as 'alien leg phenomena', this usually happens in a person who already has AHS, and then gets involuntarily movements in one of their legs that they aren't controlling.
Advertisement

And Now... Weird Medical Techniques From History! Tobacco Smoke Enema

image source: reddit.com
When it comes to medical situations, you're usually always warned away from tobacco, rather than it actually being used in hope of helping something! Back in the 1700s, it was believed that tobacco could actually help treat certain ailments - and the 'smoke enema' say tobacco smoke being blown up a person's rectum.
Advertisement

The Fight Against Baby Teeth

image source: mumsnet.com
If you have a child, then you know the difficulty of the teething stage. But back in the 1800s, medical experts began to think that teeth growing in babies was a key cause for infant deaths. So they began to tackle teeth by cutting down the gums, putting leeches on the gums or even burning the backs of baby's heads in an attempt to stop the teething process!
Advertisement

Urine As A Tooth Whitener

image source: reddit.com
Back in Roman times, they were huge fans of urine - in fact, they would even collect urine from public toilets in order to sell it for things like leather softening. One other use for urine was a tooth whitener. It was believed the ammonia present in pee would help to remove stains from teeth!
Advertisement

Trepanning For Brain Surgery

image source: reddit.com
Trepanning was a popular method for getting inside the skull in ancient times. It was a brutal medical procedure - if you can call it that - where a person had a hole put in their skull by using a tool or by digging into it. Some people miraculously survived this procedure.
Advertisement

Heroin Used As A Cough Medicine

image source: reddit.com
Over the centuries, there have been many attempts to use something to cure an annoying cough - including the drug, heroin. The heroin was included in a medicinal concoction that was supposed to be used as cough medicine. But by the 1920s, heroin was of course banned.
Advertisement

Snake Oil For Joint Treatment

image source: reddit.com
When it was taken from Chinese water snakes during historical times, snake oil was apparently used as a way to 'cure' aching joints, specifically Chinese railroad workers after a long day. And to make it worse, this product was soon taken up by fraudulent salesmen trying to pedal it!
Advertisement

Cocaine For Toothache

image source: london-dental-specialists.co.uk
Can you imagine rubbing some cocaine on your teeth... for toothache? Back in the 1800s, cocaine was known as the 'wonder drug', and it soon developed into many different uses, including to treat depression, used for eye surgery, to combat alcoholism and for sinus treatment!
Advertisement

A Vibrator For Hysteria

image source: reddit.com
So ladies, you have doctors in the 19th century to thank for the invention of the vibrator - which, originally, was actually developed to 'cure' the 'female disease' hysteria - but jokes on them now, isn't it? When a woman was going through things like irritability and a bloated tummy - so every month then - it was labelled as 'hysteria' and vibration was the answer.
Advertisement

A Miracle Weight Loss Pill

image source: reddit.com
This actually sounds normal by today's standards, but 'back then' Fen-Phen was all the rage. And while there were many, many cases of people successfully losing weight from the pill, there were of course more and more reports of negative side-effects, ending in lawsuits and injury claims.
Advertisement

Lobotomy - Like Trepanning, But Worse

image source: reddit.com
If you thought drilling a hole into someone's skull was bad, wait until you hear about this one. Many lobotomies still did drill a hole into a person's skull, but the aim with a lobotomy was actually to sever the nerves that connect the brain to the frontal lobe (responsible for thinking) - and sometimes this meant hammering ice picks through the eye socket!
Advertisement

Shock Treatments For Impotence

image source: reddit.com
If a man was suffering with problems in the bedroom, it was believed that he could be 'shocked' into a cure. Known as galvanic baths, these baths were filled with electrodes, which doctors thought would be able to cure impotence with the electric currents.
Advertisement

Milk Transfusions Instead Of Blood

image source: reddit.com
Because what could go wrong? Back in the late 19th century, it was believed that milk could be used for transfusions instead of blood, and that the fatty white characteristics of milk would then turn into white blood cells. This, of course, resulted in many deaths - but, surprisingly, some successes (very few!).
Advertisement

Chloroform For Asthma

image source: reddit.com
It was once believed that chloroform was a good treatment for asthma - but this resulted in many people dying after overdosing on the stuff. Some people would take chloroform to deal with the symptoms of asthma, and after an asthma attack, with fatal consequences.
Advertisement

What To Read Next

Load More