Weirdest Things Found On An X-Ray
1. X-Ray of a Suicide Bomber
*All images sourced from Reddit*This is a hand grenade inside a stomach of someone who was a suicide bomber. He had planned to trigger the bomb as a part of an attack - but, the plan thankfully did not work as once the bomb was inside his stomach he had no way of triggering it...Advertisement
2. A Nail From Mouth To Brain
This man, named Patrick Lawler went to the dentist complaining of toothache. What the dentist found when he performed an X Ray was a nail which started in the roof of his mouth and reached all the way into his brain. There was no explanation as to how it had arrived there...Advertisement
3. An Engagement Gone Wrong

Advertisement
4. A Near Fatal Robbery Defence
This looks fatal - a knife right through the skull right down, reaching the eye socket. This happened when some young men tried to stop a robbery back in 2008. This happened as a result of one of the robbers launching the knife into his head. Thankfully he survived and somehow fully recovered.Advertisement
5. Death By Nail Gun

This X Ray photo was taken back in 2008. Chen Liu was sadly killed, and when investigators carried out an examination it was definitively concluded that Chen Liu was actually killed with a nail gun. And here is the undeniable evidence. There are around 30 nails here inside the skull and into the brain.
Advertisement
6. Pierced Through The Eye By A Leg Chair
This is a 3D X-ray photo. The subject of the photo - 20 year old Shafique el-Fahkri got into a fight when another man threw a chair right at him. As we can see the result was gruesome. One of the leg chairs pierced right through his eye sockets, right down into his neck.Advertisement
7. Scissors In The Stomach
We can't imagine the kind of stomach pain that scissors would cause. But this is what happened to Australian Pat Skinner, he came back to the hospital 18 months after surgery complaining of stomach pain. It seems that the doctors had forgotten their surgical scissors...inside of him.Advertisement
8. A Bottle Had Somehow Appeared In His Groin
A man was forced to seek emergency medical advice when he was complaining of stomach pains. It's no wonder...considering he had a bottle stuck inside him. And, what's more, he tried to fish the bottle out using a fishing wire. He first pretended he had no idea why he had pain until the X-rays were undeniable.Advertisement
9. A Vibrator And Some Metal Tongs
This man also faced embarrassment when he was forced to seek medical intervention after getting a vibrator lodged inside of himself. Then, not wanting to go to the doctors he tried to fix the problem himself by pulling them out with some cooking tongs. But, he got them stuck inside too.Advertisement
10. An Arrow To The Eye
This child in China was somehow accidentally shot in the head by a bow and arrow. It then pierced right through his eye socket and went into the back of his skull. Somehow, it managed to miss his brain and despite the very close call, he somehow still managed to survive.Advertisement
11. A Strange Kind Of Toothpick
A man in China was apparently so desperate for a toothpick that he actually used a small pair of scissors. As if things could not get any more strange...he then accidentally swallowed them when he started laughing after his friend cracked a joke. And then of course, they got stuck down his throat.Advertisement
12. A Knife To The Eye
This soldier had a knife in his head as we can see here in the x-ray photo. And, somehow despite it penetrating 4 inches right into his head - just above his eyebrow the soldier still somehow managed to survive during the operation without any other complications.Advertisement
13. An Awkward Hiding Place
This is an X-ray of a prisoner who swallowed a mobile phone as a way to smuggle it inside the prison. Now although it may sound obscure this is actually a common way of smuggling goods. And, this man was clearly desperate to maintain contact with the outside world.Advertisement
14. Falling On A Drill
A construction worker named Ron Hunt fell from a ladder whilst he was working. At that moment in time, he had been drilling. He fell, onto the drill, which went piercing through his eye socket and out the back of his head. Spectacularly he managed to survive the incident.Advertisement
15. A Lightbulb Moment
How you may wonder, do you get a lightbulb stuck in your large intestine? A doctor from Pakistan removed the item from a prisoner. Now, you'd think this would be a memorable moment for him. But, he was totally just as baffled as everybody else as to how and why it was there.Advertisement
16. A Set Of Keys In A Child's Face
This little child was only 17-months old when somehow a set of keys ended up penetrating through his eye sockets and into his skull. Thankfully the baby managed to make a full recovery but the circumstances as to how and why this happened was also a matter that had to be investigated.Advertisement
17. Slipped In The Bath...
This 57-year old named Yi Zhao came into the emergency room for medical assistance after he had had a bad fall in the bath. A piece of the plumbing and the tap handle had ended up becoming lodged into his skull when he had fallen upon it with such force.Advertisement
18. A Seven Inch Kidney Stone
This kidney stone seems so huge that it could not possibly be real. But it is. This kidney stone was found inside a patient in Hungary and it was a massive 7-inches long and wide. Thankfully, it was successfully removed which was a huge relief to the patient.Advertisement
19. More Smuggling...
This X-ray shows more smuggling which occurred in two prisoners in Raleigh, North Carolina. These two were found trying to smuggle batteries and bed springs inside. But, they were found inside their stomachs. As we all know...swallowing batteries is NOT a good idea.Advertisement
20. Pushing A Bullet Inside To Stop Hemorrhoids...
Yes, this makes no sense at all. First of all, hemorrhoids can’t be “pushed” anywhere. But this person thought that their intestines were falling out and so they decided to push them back in using...a bullet. This is an idea that goes from bad to worse... And, the bomb squad had to be on standby during its removal.Advertisement
21. Swallowing A Cockroach And Then A Fork
This lady, first of all, swallowed a cockroach - which is nasty enough on its own. Then things got even worse. And, in a desperate attempt to remove it the lady decided to reach for a fork. Only, of course, this did not work and she actually ended up swallowing that too.Advertisement
22. A Child Ingesting What She Thought Were Sweets
Shiny, round objects....sweets? This is exactly what this little girl thought as she started swallowing them. But they absolutely were not - they were magnets. And, they had to be removed quickly before they started to clump together inside her and cause major problems.Advertisement
23. Swallowing A Spatula
It is amazing the things people do in moments of panic...and it seems from this list that it almost always leads to more problems. In this case, a woman was cooking in her kitchen, when she found herself unable to breathe properly. Then, she shoved a spatula down her throat. Did it help? Absolutely not. In fact, as we can see, this got stuck too.Advertisement
24. A Very Sharp Headache
You'd think you would remember the time when you got a nail stuck in your head - literally piercing right through your skull. But apparently not. This guy went to the doctors complaining of headaches and much to everybody's surprise they found this...Advertisement
25. A Hand Grenade In The Head
We’re not exactly sure how this is even possible, or how somebody managed to survive this. But this soldier was here to prove us all wrong because here is the evidence. Here is a hand grenade, pointing through his mouth and right into the top of his skull.Advertisement
26. A Pint Glass
You can perhaps envisage the circumstances that led to this strange situation. A pub, this man amongst his friends, too many pints... then somehow it begins to seem like a good idea not just to have another pint but also the glass itself. This is the unfortunate result.Advertisement
27. An Electric Blanket In The Stomach Of A Python
Hearing about a python swallowing an electric blanket is strange enough, and seeing it is even more odd. But this python was found with an entire heated blanket inside of its stomach. As we know, pythons can open their mouths and swallow things entirely whole - just not usually electric blankets.Advertisement
28. An Engulfed Toothbrush
This engulfed toothbrush found inside somebody was the result of a dare when they were playing a game with friends. After all, how could you accidentally swallow an entire toothbrush? And, while it may have seemed all fun and games at the time...they ended up needing medical intervention.Advertisement
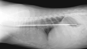
29. A Knife Inside A Puppy
Now dogs have always been known to swallow strange things. But this was an extreme case when a 13-inch serrated knife blade was found inside the puppy, stuck between the stomach and esophagus of a St. Bernard puppy in Florida. It was successfully removed thankfully.Advertisement
30. Eating Cobblestones
For some very strange reason, a girl in China swallowed over 20 cobblestones. Her reasoning was that she was upset with her boyfriend at the time. She had thought that by eating and drinking, she could eventually flush them right out again. This was not at all the case.Advertisement
